主页 > 真人案例
矫正实例2
2013-12-04 16:21来源:薛才星口腔

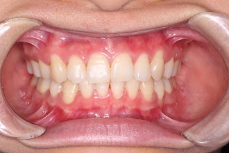
术前图集


术后图集


 案例详情
 细丝轻力矫正:  细丝、轻力是世界著名牙齿矫正技术Begg技术的特点,使用特制细小的钢丝,应用比其他矫正技术小得多的力量移动牙齿,完成矫正,整个过程患者反应,感觉舒适,牙齿、牙周无不良反应,矫正过程安全,中山医正畸科是国内的Begg训练基地,自创建以来,沿用和发展了差动力理念,并结合现代直丝弓技术,逐渐形成了独具特色的以细丝轻力理念为核心的现代固定矫治技术,在国内外独具一格,薛才星就读于中山医,深受该技术影响,学习并长期应用于临床,取得良好效果



李先生早年牙齿很不整齐,嘴型突,很像封神榜里的雷震子,周边的人给他取了个绰号,“雷震子”,令他一直很自卑,没有自信





经过矫正,取得了很好效果,现在绰号没人叫了,女朋友也有了,重拾自信,人生有了新的开始。


最难牙齿修复 牙齿缺损怎么办 牙痛怎治?

没有我的问题

直接咨询

烤瓷牙失败 蛀牙补救
7天拥有健康牙 家庭口腔管理
在线咨询预约更多+
  • 姓    名:
  • 电    话:
  • 描    述:
首页| 医生团队| 真人案例| 来院路线| 在线咨询
回顶部
广州店:白云区丛云路818号柏丰大厦首层B101
阳西店:阳江市阳西县御景路壹方豪庭一栋106号、阳西县城广场77号首层
服务热线:020-83495051  0662-5533988 0662-5536138